儿童间变性大细胞淋巴瘤的诊断与治疗
执笔:林愈灯, 宗飒
广东省人民医院肿瘤中心儿童血液肿瘤科、广东省医学科学院, 广州510080
摘要

关键词: 间变性大细胞淋巴瘤; 噬血细胞综合征; 川崎病; 循证医学; 病例讨论
中图分类号:R733.1 文献标识码:A
The Diagnosis and Treatment of Children Anaplastic Large Cell Lymphoma
LIN Yu-deng, ZONG Sa
Authors' address: Department of Children's Blood Cancer,Cancer Center, Guangdong General Hospital, Guangdong Academy of Medical Sciences, Guangzhou 510080, China
Abstract
Key words: anaplastic large cell lymphoma; hemophagocytic syndrome; Kawasaki disease; evidence-based medicine; clinical case discussion
1 病历摘要

患儿,男,1岁,因“腹部皮下结节2个月余”入院。患儿于2个月前发现腹部散在丘疹样皮下小结节,无发热及疼痛,伴瘙痒,抗过敏及抗菌治疗无效。入院体查:发育营养良好,皮肤黏膜无黄染,腹部触及多个直径约0.5 cm皮下结节。颌下、双侧腹股沟淋巴结多枚(0.2~0.5 cm),左侧腹股沟可触及大小约3.0×4.0 cm肿物,右腋前可触及大小约5.0×6.0 cm肿物,质中。余体查正常。

腹部CT:左侧腰背部、右腹壁及右前下胸壁皮下软组织内多发肿块及结节,双侧腹股沟区多发肿大淋巴结;左侧腹部皮下结节切除病理诊断:T细胞性, ALK(+)间变性大细胞淋巴瘤(anaplastic large cell lymphoma,ALCL),T细胞性,淋巴组织细胞亚型;骨髓涂片示淋巴瘤细胞3%。诊断: 非霍奇金淋巴瘤:T-细胞性ALCL Ⅳ期。

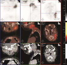
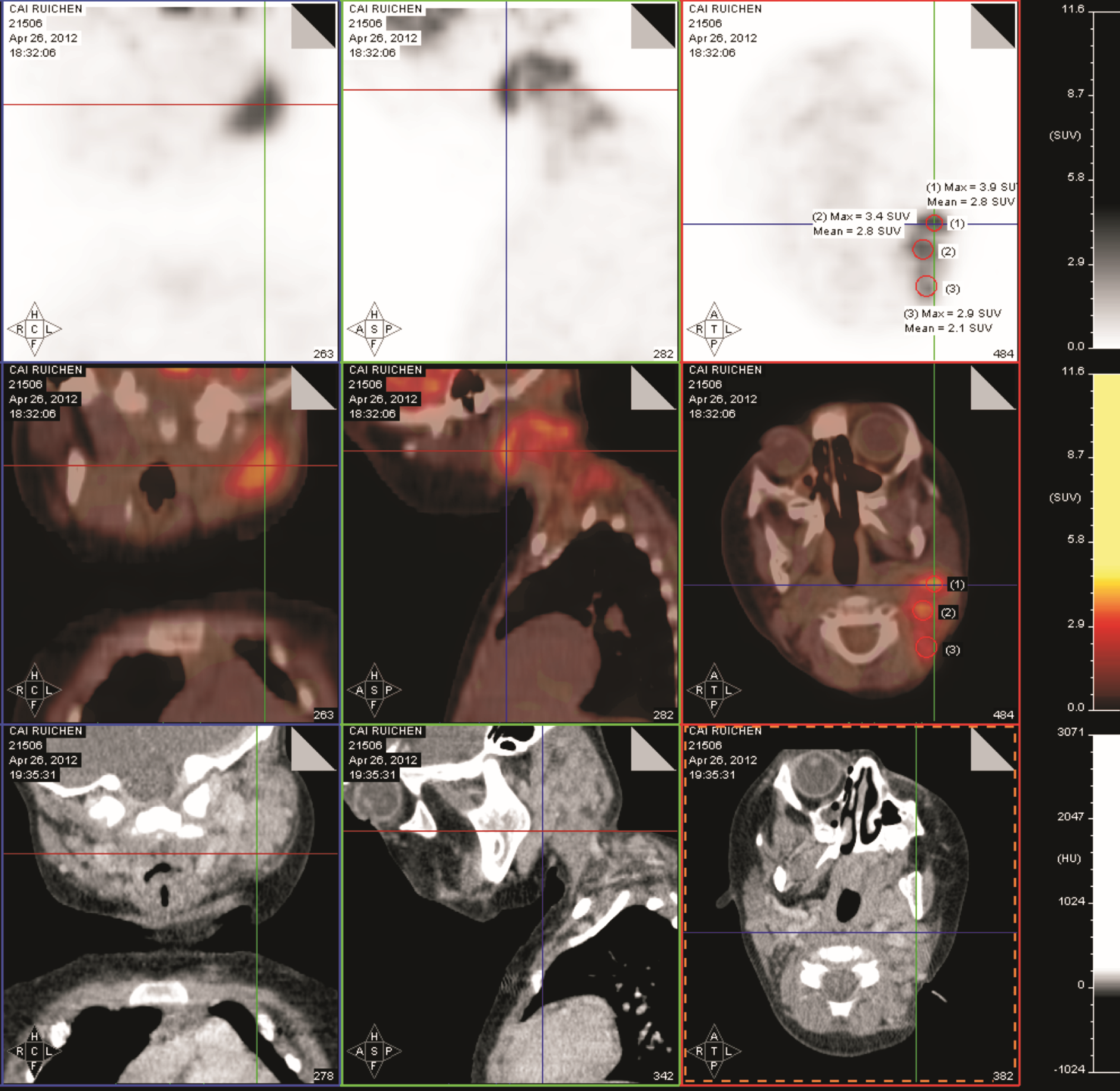
病情变化:采用BFM NHL 2000方案治疗,共6疗程。治疗结束后1个月因“皮疹伴反复发热10余天”再入院。特点:全身较密集红色丘疹伴瘙痒,部分化脓,右耳后、右侧腹股沟0.5~1.0 cm肿大淋巴结,质硬,无压痛,表面光滑。肝肋下3 cm,脾肋下刚触及。体温最高39.4℃,外院予抗菌、抗过敏等治疗,皮疹部分消退,仍发热,白细胞、血小板呈进行性升高,白细胞34.66~55×109/L,血小板646~950×109/L,血红蛋白 114 g/L,血沉:105 mm/h。骨髓涂片:骨髓增生活跃,淋巴瘤细胞占3.0%。PET/CT检查示:①全身多发肿大淋巴结葡萄糖代谢不同程度增高,考虑淋巴瘤影像学改变;②脾肿大、葡萄糖代谢弥漫性稍增高,考虑反应性改变。见 图1 图2。血培养阴性。抗菌治疗无效,2周后出现肛周脱皮,心脏超声提示冠状动脉扩张,诊断川崎病,予静脉注射免疫球蛋白 1 g/(kg·d)×2 d治疗,同时口服阿司匹林及潘生丁维持治疗,体温稳定,皮疹消失出院。

图1 疗程结束1个月后全身PET/CT图像

图2 疗程结束1个月后局部PET/CT图像

出院5周后再次反复发热,躯干及腹股沟见红色皮疹,浅表淋巴结无肿大,肛周皮肤脱皮,考虑川崎病复发,心脏超声扩张冠状动脉恢复正常。静脉注射免疫球蛋白治疗无效,仍反复发热,诊断免疫球蛋白抵抗型川崎病,予糖皮质激素及阿司匹林治疗无效,体温反复,白细胞、血小板、血红蛋白呈进行性降低,血纤维蛋白原减少,骨髓涂片肿瘤细胞2%, 吞噬细胞3%,患儿病情加重,肝脾肿大,呼吸急促且进行性加重,需呼吸支持治疗,胸部X光片提示肺部感染。皮疹活检诊断ALCL复发。最后诊断:ALCL复发伴噬血细胞综合征。予HLH 2004 方案及复发淋巴瘤方案治疗,体温稳定,皮疹消失,血象恢复。

2 讨 论

宗飒(儿童血液肿瘤科医师):介绍病情(略)。提出讨论要点:(1)评价患儿既往诊断及治疗情况;(2)肿瘤复发诊断及治疗策略。

患儿入院时,给予BFM NHL 2000方案 AA-BB-CC-AA-BB-CC方案共6个疗程。治疗过程顺利,1个疗程后皮下结节、腋前和腹股沟肿块消失。

旁述:儿童ALCL治疗方案差异较大。可应用急性淋巴细胞白血病方案或应用短程、脉冲式B细胞淋巴瘤方案。对一些有巨大肿块者给予局部放疗。国内多应用NHL-BFM方案。其治疗时间依临床分期2~6个月,治疗时间短,疗效为5年总体无事件生存率76%±5%[ 1]

请徐卫平主任介绍一下患儿的PET/CT检查情况。

徐卫平(核医学科副主任医师):PET-CT检查提示全身多发中央及外周长骨骨髓不均匀放射性增高或减低,肝门区可见多发局灶性放射性浓聚,脾脏放射性药物摄取分布弥漫性增高,颈部、锁骨上窝、盆腔、腹股沟区多发淋巴结肿大,以左侧颈部淋巴结尤为显著,而腹股沟淋巴结代谢水平高,纵隔淋巴结肿大,但代谢水平不高。综合上述影像,考虑血液、淋巴系统恶性病变并骨髓、脾脏、肝门区淋巴结广泛浸润可能性大。

林愈灯(儿童血液肿瘤科副主任医师):根据此次PET/CT检查结果,影像学是考虑淋巴瘤复发,请问PET/CT对儿童的淋巴瘤如何评价预后及复发?是根据SUV值的高低还是SUV值的改变?儿童和成人的评价标准有没有什么不同?儿童不同类型淋巴瘤之间的评价标准有无不同?有没有一个具体的SUV值可以判定复发?

徐卫平:目前儿童PET/CT检查方法不多,检查方法及评价标准与成人也基本上一样。没有一个绝对的SUV值可以判定复发,但是不同类型的淋巴瘤组织对FDG的摄取情况是不同的,有高低差别。

林愈灯:小儿的代谢水平往往比较活跃,SUV值会不会偏高一点呢?

徐卫平:一般不会出现这种情况,但一些患儿在存在淋巴结炎时,其代谢水平增高,容易误诊,而在成人较少。

李伟雄(放疗科教授):请问淋巴瘤完全缓解的PET/CT的标准是不是影像学和代谢水平都要阴性,还是说影像学存在但代谢水平阴性也可以算完全缓解呢?

李文瑜(淋巴瘤科副主任医师):成人淋巴瘤的评价标准,在治疗前没有做PET/CT检查或者PET/CT检查阳性(基线代谢高)者,治疗后,无论肿块大小,只要PET检查残留病灶阴性或者说SUV值低于正常值,都评价为完全缓解。但是基线代谢本来就低的则不适于这样的评价标准。这种方法主要用于成人弥漫大B细胞淋巴瘤及滤泡细胞淋巴瘤,T细胞淋巴瘤能否用这种方法目前存在争议,而惰性淋巴瘤则不适于PET/CT来评价。

吴一龙(肿瘤学教授):根据PET/CT检查结果,当时判断淋巴瘤复发,而临床并没有针对复发进一步治疗,是根据什么样的证据支持做出临床判断的?

林愈灯:根据PET/CT检查结果,临床也考虑淋巴瘤复发可能,曾建议家属给患儿做活检明确诊断,但家属不同意,同时针对“川崎病”的治疗也显现出预期疗效,因此暂时观察病情变化。

吴一龙:患儿曾出现川崎病表现,按川崎病治疗后病情好转,这没错,但PET/CT检查已经提示淋巴瘤复发可能,那么为什么不再考虑进一步寻找证据判断是否存在复发呢?

林愈灯:当时怀疑淋巴瘤复发,PET/CT影像学检查评价淋巴瘤只是提供了一个可能性,并不是确诊的依据,由于家属意见且患儿对治疗反应好,因此没有进一步活检检查。

杨衿记(肿瘤内科学主任医师):在肿瘤学科里,影像学都只是个定位诊断,而不是定性诊断,只有病理学及细胞学才可以作最后诊断。

吴一龙:是否存在这样一种情况,患儿淋巴瘤已经复发,恰巧合并新的“川崎病”病情,从而一定程度上掩盖了淋巴瘤复发病情,我们是不是还应该找到证据去解释PET的影像学表现呢?另外,在治疗过程中,本来可以积极活检检查寻找证据,但仅因为家属不同意,就放弃进一步检查,忽略了淋巴瘤复发的可能性,这样似乎有违医学的真正含义。我觉得,如果我们临床高度怀疑疾病的可能性的时候,如果家属拒绝相关检查,我们要努力说服家属而不能被家属左右。临床上需要积极考虑病人意见的情况,一是终末期,我们对病情没有任何把握,这时候我们基本上满足病人的要求,这也属于临终关怀;二是出现医疗差错时,大多数情况下要被动听从患者意见,从而及时补救,减少纠纷;三是患者提出的要求无关大局,这个时候可以有限度地听从家属的意见。本病例家属拒绝活检,势必影响整个疾病治疗,这时我们对做活检的态度应该是没有商量余地,除非家属放弃在这里治疗了。

林愈灯:当时医师对进一步活检确实不够坚决。川崎病本身也会淋巴结肿大,且针对川崎病的治疗有效,在一定程度上掩盖了淋巴瘤复发的病情。吴院长对病情的估计是正确的,患儿的病情进一步恶化,再次反复发热,血常规提示血细胞三系进行性降低,最后诊断ALCL复发嗜血细胞综合征。

杨衿记:本例患儿ALCL为ALK阳性淋巴瘤,即ALKoma,这里ALK是怎么检测的,目前针对ALK阳性的肿瘤有新的研究提示克唑替尼有效。

张绪超(研究员):关于ALK的检测,病理科是通过IHC方法,抗体标记阳性就表示检测阳性,即使通过FISH的方法检测,其所用标记也不同于肺癌等肿瘤。

吴一龙:我同意杨主任的意见, 克唑替尼一定有效。虽然ALK的检测方法不同,既然有数据表明克唑替尼在儿童ALK阳性的ALCL是100%有效,那么我们就应该尝试使用检测肺癌的ALK所应用的FISH方法去检测ALCL中ALK的表达,然后在没有统一标准治疗方法的条件下可以尝试使用克唑替尼来治疗ALCL,注意这种尝试是在没有标准治疗方法的前提下。

林愈灯:对于ALCL复发,是否主张造血干细胞移植治疗?

钟立业(血液内科副主任医师):结合本病例病情过程及后期皮肤活检,证实淋巴瘤复发,现在可以推断,患儿整个病程主要病症就是淋巴瘤本身,而中间表现出来的川崎病及嗜血细胞综合征,都是表面现象,因此应该争取尽早拿到证据。对于高危儿童淋巴瘤,建议移植。但目前并没有足够循证医学证据支持异基因造血干细胞移植,特别是无关供者,对临床有很大意义。因此,如果在化疗效果良好的条件下,可以尝试自体造血干细胞移植。

李文瑜:成人也选择BFM NHL90方案,这个方案用药非常强烈,但治愈率很高,而复发后再选择什么样的方案,目前也没有一致意见。

吴一龙:听完以上的发言,我认同钟医师的意见,患儿整个病程病因只有一个,即淋巴瘤,其中川崎病、嗜血细胞综合征都是伴随疾病,在针对嗜血细胞综合征治疗的过程中,我注意到你们使用了VP-16、地塞米松及CsA,我们知道,淋巴瘤本身对激素和VP16都敏感,那么,你认为这种治疗是控制了淋巴瘤本身从而改善了嗜血细胞综合征的病情,还是药物单纯地纠正了嗜血细胞综合征?

林愈灯:吴院长提的问题很关键,在整个病程中,激素发挥了重要作用。在治疗川崎病、嗜血细胞综合征这两个伴随疾病的过程中,激素等药物的使用掩盖了淋巴瘤复发的表现。

吴一龙:那为什么在整个病程中都没有重视淋巴瘤复发的可能呢?我们来总结一下这个病例给我们的经验和教训。在这个病例里,第一个问题,什么时候应该做皮肤活检,在患儿出现皮疹,而经皮肤科的治疗效果不佳,而又有影像学表现提示怀疑复发的时候,就一定要做皮肤活检;第二,本病例最后皮肤活检证实淋巴瘤复发,进一步说明PET/CT在这种淋巴瘤的提示作用非常重要,因此,我们做完化疗,什么时候去做PET/CT检查评估病情就显得很重要;第三,如果认为患者是高危的,那么按照标准化疗方案治疗完成后,还要不要维持治疗,治疗时间是多久,这就是一个新的问题,也许说标准方案里面没有维持治疗,而且也没有想过文献支持这种治疗模式,那么,会不会在这种高危的情况下,可以探索出新的治疗模式,我们在临床工作中应该学会创新,而不是一直跟随;第四,新的一些靶向药物要如何尝试,我们在治疗疾病的过程中,难免会遇到新问题,这个时候,经验医学可能认为,曾经有过类似的病例,用什么药物获得良好疗效,但这种经验医学碰巧的可能性很大,我们应该尽可能做到循证医学,譬如之前说的克唑替尼在儿童ALK阳性的ALCL是100%有效的,这就要求大家要扩大知识面,不能只看自己本专业的书。

The authors have declared that no competing interests exist.

参考文献
[1] Seidemann K, Tiemann M, Schrappe M, et al. Short-pulse B-non Hodgkin lymphoma-type chemotherapy is efficacious treatment for pediatric anaplastic large cell lymphoma: A report of the Berlin-Frankfurt-Munster Group Trial NHL-BFM90[J]. Blood, 2001, 97(15): 3699-3705. [本文引用:1] [JCR: 9.06]