鼻咽癌合并肺部多发结节的诊断和治疗
广东省人民医院肿瘤中心执笔:谭佩欣, 陈志勇, 谢松喜
广东省人民医院肿瘤中心放疗科、广东省医学科学院, 广州510080
摘要

编者按: 疾病的正确诊断和合理治疗是患者和医务工作者共同的心愿。在广东省人民医院肿瘤中心,吴一龙教授指导临床医生应用循证医学理论进行肿瘤的多学科综合治疗,开展临床病例讨论。讨论会上各学科共同围绕一个病例或一个病种进行会诊,临床、病理、B超、放射影像等资料齐全,除相关科室提前准备的中心性发言外,到会人员各抒己见,气氛热烈。参会人员受益匪浅,提高了对疑难病例的诊治水平。为了将他们的诊治经验传播出去,让更多的临床医生获益,我刊开辟“循证病例讨论”栏目,希望广大医务工作者关注此栏目。

关键词: 鼻咽癌; 肺多发结节; 循证医学; 病例讨论
中图分类号:R739.63 文献标识码:A 收稿日期:2015-03-02
Diagnosis and Treatment of Nasopharyngeal Carcinoma with Multiple Pulmonary Nodules
TAN Pei-xin, CHEN Zhi-yong, XIE Song-xi
Authors’ address: Radiotherapy Department, Cancer Center, Guangdong General Hospital, Guangdong Academy of Medical Sciences, Guangzhou 510080, China
Abstract
Key words: nasopharyngeal carcinoma; multiple pulmonary nodules; evidence-based medicine; clinical case conference
1 病历摘要

患者, 男性, 45岁, 因“ 左耳鸣6个月, 涕血2周” 收住我科。患者因“ 耳鸣” 于我院耳鼻喉科门诊就诊, 纤维鼻咽镜检查发现鼻咽肿物, 活检病理提示鼻咽非角化型未分化型癌, 为进一步治疗入院。患者发病以来无头晕头痛、面麻、视物重影、视力下降、咳嗽、咯血等不适, 无发热, 精神胃纳可, 二便正常, 近半年体重无明显减轻。

既往史、个人史、婚育史、家族史等无特殊。体格检查:T:36.5℃, P:82 次/分, R:20 次/分, BP:127/78 mmHg, PS:0分。双肺呼吸音清, 未闻及干湿罗音, 心率 82次/分, 律齐, 无杂音。腹软, 无压痛反跳痛, 肝脾未触及, 移动性浊音(-)。专科检查:间接喉镜可发现左侧咽隐窝变浅, 可见肿物, 全身浅表淋巴结未扪及明显肿大。

检验:血常规、生化常规、AFP(甲胎蛋白)、CEA(癌胚抗原)等未见异常。

辅助检查:

鼻咽+颈部MRI(2013-07-31)示:(1) 鼻咽左侧壁可见一椭圆形软组织肿块影, 最大径约31 mm× 19 mm, 肿块累及头长肌、腭帆提肌、腭帆张肌、翼突。左侧咽隐窝及咽鼓管咽口变窄、消失, 右侧咽隐窝及咽鼓管清晰。双侧颈部Ⅱ 、Ⅲ 区见多发小淋巴结, 最大者约8 mm× 10 mm。诊断:鼻咽左侧壁肿块, 考虑鼻咽癌并累及头长肌、腭帆提肌、腭帆张肌、翼突(见图1)。

图1 鼻咽颈部MRI图像(2013-07-31)

胸片(2013-07-30)示:左下肺叶后基底段类圆形致密影, 建议CT检查。

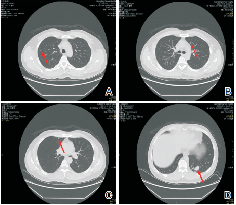
胸部CT(2013-07-31)示: 左肺下叶后基底段见一肿块影, 呈分叶状, 边缘见短毛刺, 后缘见胸膜牵拉征, 周围见少许斑片状模糊影, 增强后肿块较明显不均匀性强化, 其内可见小空泡征, 大小约22 mm× 15 mm。双肺野见多个小圆形结节影, 边界较清楚, 最大者直径约6 mm。诊断:考虑左肺下叶周围型肺癌并少许阻塞性肺炎, 建议穿刺活检; 考虑合并双肺多发转移(见图2)。

图2 胸部CT图像(2013-07-31)

2 讨 论

谢松喜(放疗科副主任医师):汇报病史(略)。首先提出讨论要点, 即肺部多发结节的诊断及鉴别诊断:(1)鼻咽非角化型未分化癌伴双肺转移(T3N1M1, Ⅳ C期)?(2)鼻咽非角化型未分化癌伴双肺转移(T3N1M1, Ⅳ C期), 左肺癌(cT1bN0M0, Ⅰ A期)?(3)鼻咽非角化型未分化癌(T3N1M0, Ⅲ 期), 左肺癌伴多发转移(cT4N0M1a, Ⅳ 期)?(4)鼻咽非角化型未分化癌(T3N1M0, Ⅲ 期), 左肺癌(多原发)(cT1bN0M0, Ⅰ A期)?(5)鼻咽非角化型未分化癌(T3N1M0, Ⅲ 期), 左肺癌(cT1bN0M0, A期), 肺良性结节?

刘辉(放射科主任医师):患者胸部CT可见双肺多发类圆形结节, 主要分布在胸膜下, 考虑转移瘤的可能性较大, 另外可见左下肺后基底段一较大结节, 具有多种恶性征象:肿瘤生长受到血管的阻隔可见明显分叶征, 周边较多短毛刺, 在重建的CT上可见左支气管内有阻断, 并造成了阻塞性炎症, 病变靠近肺门的一侧可见血管纠集征, 薄层扫描可见肿物内有空泡征, 增强像可见肿物增强明显, 增强后的重建可见肿物包绕血管, 血管边界不清, 提示肿物侵犯血管, 综合以上征象, 我们考虑左下肺肿物为肺原发恶性肿瘤。而对于双肺多发转移瘤, 影像学上很难以鉴别是由鼻咽癌还是左下肺肺癌转移而来, 只能从概率来看, 对于肺内转移灶来说, 最多见的原发灶为肺癌, 其次为泌尿生殖道肿瘤。另外, 肺转移瘤可能会拥有原发部位肿瘤的特征, 如有文献报道, 鼻咽癌的肺转移瘤出现空洞坏死, 但只是个案报道无太大参考意义。因此, 我们考虑双肺多发结节为肺癌转移瘤可能性较大。

吴一龙(肿瘤学教授):根据影像学资料考虑双肺散发的结节为转移瘤, 而左下肺肿物为原发性肺癌, 但对于双肺转移瘤的来源判断较困难, 可从原发肿瘤的分期来考虑, 比如鼻咽癌偏晚期, 则考虑鼻咽癌转移瘤可能性大, 反之亦然。而对于这个病例, 肺部原发肿瘤的分期为T1b, 发生对侧转移的可能性较小, 而鼻咽部肿瘤的分期较晚, 发生肺转移的可能性较大。

李伟雄(放疗科主任医师):影像学上难以判断双肺转移瘤的来源, 从临床上分析, 此患者的鼻咽癌分期为T3, 双侧淋巴结虽无明显肿大但呈簇状分布, 考虑淋巴结分期为N2。而鼻咽癌的肺转移概率与淋巴结分期密切相关, 如锁骨上区淋巴结阳性, 分期为N3, 则发生肺转移的概率大大增高。本患者鼻咽癌为局部晚期, 有一定肺转移的可能。另外, 本患者肺内原发肿物较小, 发生对侧肺转移可能性小, 同时, 若发生对侧肺转移, 纵隔一般可见肿大淋巴结, 本患者纵隔无肿大淋巴结, 故考虑肺癌肺转移瘤可能性小。

谢松喜:继续讨论下一步的诊治方案, 按照全程管理的理念, 我们制定了以下三个决策方案:(1)胸腔镜手术切除肺部病灶+鼻咽部放化疗; (2)经皮肺穿刺活检+系统化疗+肺部手术+鼻咽部放疗; (3)经皮肺穿刺活检+鼻咽部同步放化疗+肺部手术。请大家讨论应选择哪种决策, 或者给出其他治疗决策的建议。

杨学宁(肺二科副主任医师):鼻咽癌并发肺内多发结节的诊断较难, 因鼻咽癌肺内转移的表现多样, 目前仍不能排除左下肺肿物为鼻咽癌转移可能, 建议先行左下肺肿物穿刺活检, 确定为原发性肺癌后再行肺部肿物切除手术, 同时予散在结节切除活检术, 从而达到切除肺癌并明确肺内转移瘤性质的目的。另外, 应完善全身PET-CT检查, 以评价肿瘤全身侵犯情况。

周海榆(胸外科主治医师):明确肺内多发转移瘤的性质是相当重要的, 因为Ⅳ 期肺癌与Ⅳ 期鼻咽癌的治疗策略及预后相差甚远, 而明确肺内转移瘤性质的手段目前只能通过手术切除活检, 所以可以考虑直接胸腔镜下行左下肺肿物切除及多发结节切除活检术。根据病理结果再制定下一步治疗方案。

旁述:鼻咽癌远处转移(任何T, 任何 N, M1)治疗策略(NCCN 2014.2)有以下两种:(1)先行含铂的双药或三药化疗, 接着行鼻咽部+颈部的单纯放疗或同步放化疗; (2)直接行鼻咽部+颈部的同步放化疗。据文献报道, 鼻咽癌肺转移系统治疗后中位生存期为3.9年[1]。非小细胞肺癌远处多发转移治疗策略(NCCN 2014.1):非鳞癌:明确EGFR、ALK的基因突变情况, 根据基因检测结果选择对应的一线治疗方案; 鳞癌:根据PS评分选择对应的一线化疗方案。

谢松喜:经科内讨论, 决定采用经皮肺穿刺活检+系统化疗+肺部手术+鼻咽部放疗的治疗方案。2013-08-01行经皮肺穿刺活检病理结果为肺浸润性腺癌。科室讨论此患者的诊断考虑为:鼻咽非角化型未分化癌伴双肺转移(cT3N1M1, Ⅳ C期), 左肺腺癌(cT1bN0M0, Ⅰ A期)。2013-08-16行第1周期TPF方案化疗(考虑本化疗方案同时对鼻咽癌及肺癌有效), 第2周期化疗后于2013-09-24复查胸部CT提示:与治疗前对比, 原发灶缩小, 转移灶减少、缩小(见图3)。治疗有效。予以继续完成共4周期TPF方案化疗。化疗结束后于2013-11-08行全胸腔镜下肺叶切除术+肺门纵隔淋巴结清扫术, 术后病理:(左下肺)肺浸润性腺癌, Ⅱ 级, 淋巴结可见癌转移(共1/9, 其中“ 段LN” 1/1)。术后恢复良好, 于2013-12-13开始行鼻咽+颈部调强放疗, 剂量66 Gy/30 F, 2014-01-23结束全程放疗。放疗后定期复查鼻咽MRI提示鼻咽肿瘤消失(见图4)。2014-07-08复查胸部CT示:左肺上叶前段结节较前增大, 考虑恶性可能性大。右肺两个小结节, 变化不大(见图5)。 此时, 我们需要明确:(1)诊断是否要改变?肺部小结节是良性或恶性?是肺多原发癌或鼻咽癌或肺癌转移?(2)左上肺新发增大的肺部结节如何处理?

图3 胸部CT提示肺转移灶减少、缩小

图4 鼻咽MRI显示治疗前后鼻咽肿物变化情况

图5 随访胸部CT新发病灶

杨学宁:患者近期新发及增大的结节性质应该与治疗前发现的转移瘤性质是一致的, 但因为未对最早发现的结节进行活检, 不能准确判断其来源, 故本次新发的结节也难以判断其性质, 影响下一步的治疗选择, 可先随访观察, 等待结节增大后行胸腔镜手术明确病理。

李伟雄:经过全身化疗后, 肺内原来的病灶消失, 对化疗敏感, 还是支持肺内病灶为鼻咽癌的转移病灶。但由于没有病理的确认, 只是临床推测。新发病灶目前难于定性, 可能为炎症, 也可能为原发肺癌或肺癌和鼻咽癌的转移灶, 建议随访, 以后手术切除定性或穿刺活检。

旁述:最新Fleischner学会肺磨玻璃密度结节处理指南。(1)孤立的、直径小于5 mm的纯磨玻璃影不需要随诊。尤其是年老者, 因为其在病理上代表不典型腺瘤样增生, 少数为原位腺癌。扫描层厚必须为1 mm, 以确定其是否为真正的磨玻璃影。(2)孤立的、直径大于5 mm的纯磨玻璃影, 3个月后复查, 以观察病变是否消失。

如持续存在, 则每年复查, 至少持续3年。病理上为不典型腺瘤样增生、原位腺癌和一少部分微浸润腺癌, 不建议使用抗生素。PET检查价值不大。CT引导穿刺不推荐, 阳性率较低。如果病变增大或病变密度增高, 可采取手术治疗, 术式推荐胸腔镜楔形手术、肺段或亚段切除。(3)孤立的部分实性密度磨玻璃影, 特别是实性成分大于5 mm者, 3个月后复查, 发现病变增大或无变化时, 应考虑恶性病变可能。一组资料显示, 部分实性密度结节, 恶性的可能性为63%, 而纯的磨玻璃影为18%。大的纯磨玻璃影大多数为侵袭性病变。女性和年轻患者常为炎症。不推荐CT引导穿刺。术式推荐胸腔镜楔形手术或肺段切除, 不推荐肺叶切除。(4)多发小于5 mm的边缘清晰的磨玻璃影, 应采取比较保守的方案, 建议2年及4年后随诊。(5)多发纯磨玻璃影, 至少一个病灶大于5 mm, 但没有特别突出的病灶, 建议3个月后复查, 且长期随诊, 至少随诊3年。(6)有突出病灶的多发磨玻璃影, 主要病变需进一步处理。首次3个月后复查, 病灶若持续存在, 建议对较大病灶给予更积极的处理, 尤其是病灶内的实性成分大于5 mm者。术式推荐胸腔镜楔形手术或肺段切除。术后患者每年随诊, 至少持续3年。对于肺内的磨玻璃影结节, 目前最重要和最需要解决的问题是可能存在过度治疗[2]

吴一龙:我们在面对疾病的时候要坚持一些基本原则, 在坚持这些基本原则的基础上再进一步分析如何诊断及治疗。对于双原发癌的患者, 我们制定诊疗计划需要坚持的第一个基本原则是, 明确哪种癌症占主导地位, 对患者的预后影响更大。我们应根据预后较差的疾病来设定以后的治疗方案。第二个原则是, 疾病的全程管理, 即在制定诊疗计划的时候要把所有因素都考虑到, 同时制定诊断及治疗计划, 明确每一步的作用及意义。若按照这两个原则来对本病例进行分析, 有以下几个方面可改进:第一, 考虑本患者病情复杂, 同时存在双原发癌并远处转移的可能, 全身全面的病情评估是很重要的, 故PET-CT应在诊断阶段予以完善。第二, 必须明确肺内多发小结节的性质, 是良性?肺癌转移?还是鼻咽癌转移?明确小结节的性质对后续治疗相当重要, 如若是良性病变, 则肺癌及鼻咽癌均可以根治; 若是肺癌转移, 则应先明确基因突变情况, 予以分子靶向治疗, 同时治疗局部鼻咽癌。因此, 我们在最初诊断时应完善PET-CT检查, 明确是只有肺内转移灶后行胸腔镜手术, 同时活检左下肺病灶及多发小结节, 明确病理, 若为原发肺癌并鼻咽癌肺转移, 则当即行肺癌根治性切除, 术后行晚期鼻咽癌治疗; 若为肺癌并肺内转移, 则行楔形切除, 术后予以靶向治疗, 同时予鼻咽癌放疗。通过这种手段就可以把诊断和治疗同时进行。另外, 目前患者在治疗结束后5个月出现肺内新病灶, 提示肺癌转移瘤可能性很大, 建议继续观察随访并明确病理。

The authors have declared that no competing interests exist.

参考文献
[1] Hui EP, Leung SF, Au JS, et al. Lung metastasis alone in nasopharyngeal carcinoma: A relatively favorable prognostic group. A study by the Hong Kong Nasopharyngeal Carcinoma Study Group[J]. Cancer, 2004, 101(2): 300-306. [本文引用:1]
[2] Krochmal R, Arias S, Yarmus L, et al. Diagnosis and management of pulmonary nodules[J]. Expert Rev Respir Med, 2014, 8(6): 677-911. [本文引用:1]