患儿, 男, 4岁, 因“ 皮下出血点1周” 入住广东省某三甲医院, 骨髓检查结果:急性淋巴细胞白血病(acute lymphoblastic leukemia, ALL)B细胞型; 并按照ALL-GD2008方案行诱导化疗(VDLP方案), 骨髓复查为完全缓解; 结合骨髓检查、诱导化疗效果, 确诊为“ ALL-B细胞型, 标危组” , 后按计划予CAM方案巩固化疗, 化疗期间出现肺部感染[血培养:肺炎链球菌(+)]及泌尿系感染[尿道口脓液培养:屎肠球菌(+)], 胸部CT提示双肺多发散在小结节及小片状渗出, 当时患儿反复发热、粒细胞缺乏, 不排除真菌感染可能, 遂联合抗细菌、抗真菌治疗, 患儿病情好转出院。约3周后患儿无明显诱因出现“ 精神反应差” , 并逐渐出现意识不清, 口角抽搐, 无发热、眼睑上翻、尖叫、呕吐; 当地医院头颅CT示:脑积水, 双侧大脑半球脑沟加深; 胸部CT示:双肺散在多发小结节及小片渗出, 右肺明显, 纵隔淋巴结增大, 右侧少量胸水。腰穿脑脊液常规:细胞总数85× 106/L, 白细胞计数 56× 106/L; 脑脊液生化:氯93.7 mmol/L; 葡萄糖1.36 mmol/L; 蛋白 2 362 mg/L; 当地医院不排除合并“ 颅内感染” 可能, 结合既往病史, 予抗细菌、抗真菌、脱水降颅压、地塞米松抑制炎症反应等治疗, 患儿病情无好转, 并逐渐出现昏迷。
当地医院治疗2周后转来我院, 入院查体:T:37.7℃, P:110次/分, R:21次/分, 血压:102/66 mmHg, SPO2:99%, 浅昏迷, 呼吸不促, 无三凹征, 双侧瞳孔等大等圆, 约2.5 mm, 对光反射灵敏, 双侧呼吸音较粗, 右下肺呼吸音低, 未闻及明显干湿罗音, 心音可, 心律齐, 未闻及杂音。右上肢及左下肢肌张力稍高, 左上肢及右下肢肌张力减低, 毛细血管充盈时间< 3秒。腹壁反射及提睾反射、左侧膝反射存在, 右侧膝反射未引出, 双侧巴宾斯基征阴性, 颈抵抗阳性, 克氏征阴性, 布氏征阴性。
入院实验室检查:降钙素原(PCT)检测: 0.07 ng/mL; CRP-干化学法: 31.75 mg/L; 结核抗体阴性; 全血常规:中性粒细胞比值 0.732; 血小板计数 720.1× 109/L; 血红蛋白浓度 81 g/L; 白细胞计数 9.02× 109/L; 脑脊液生化:氯 104.2 mmol/L; 葡萄糖 1.3 mmol/L; 微量蛋白 1 721.6 mg/L; 乳酸脱氢酶 34 U/L; 乳酸 4.8 mmol/L; 脑脊液常规:透明度为清; 多核细胞 24%; 白细胞计数 42× 106/L; 淋巴细胞 76%; 脑脊液暗视野找隐球菌, 涂片找抗酸杆菌, 涂片找细菌(+), 真菌阴性; 脑脊液神经系统指标(CSF):免疫球蛋白A 15.2 mg/L; 免疫球蛋白G 158 mg/L; 免疫球蛋白M 5.23 mg/L; 白蛋白 1 450 mg/L; 脑脊液腺苷脱氨酶15 U/L。
影像学检查(头颅CT平扫及胸部增强CT)示:(1)考虑交通性脑积水, 请结合临床。(2)考虑右中下肺感染并少量胸腔积液, 建议治疗后复查。(3)纵隔及右肺门淋巴结肿大, 反应性增生所致可能性较大。
3天后复查脑脊液生化:氯 104.6 mmol/L; 葡萄糖 1.85 mmol/L; 微量蛋白 3 434 mg/L; 脑脊液透明度为微浊; 多核细胞 81%; 白细胞计数 458× 106/L; 淋巴细胞 19%。
宗飒(儿童血液肿瘤科医师):汇报病史(略)。提出讨论要点:患儿确诊ALL明确, 化疗过程中合并感染, 现在出现神经系统体征合并脑脊液改变, 该如何诊断?
林愈灯(儿童血液肿瘤科副主任医师):患儿诊断白血病明确, 化疗过程合并感染, 积极抗感染治疗后病情好转, 之后患儿再次出现神经系统症状, 并昏迷, 但无发热, 结合白血病病史, 需考虑中枢神经系统白血病的可能, 同时, 结合患儿既往感染病史, 需警惕颅内感染性疾病的可能。
陆泽生(血液科副主任医师):这种情况下最主要的鉴别就是中枢神经系统白血病和颅内感染性疾病。目前的医疗条件下, 如果不做中枢神经系统白血病预防性治疗的化疗, ALL合并中枢神经系统白血病的发生率可以高达20%~30%, 所以, 在治疗过程中, 如果出现中枢神经系统症状, 包括昏迷、头痛、偏瘫、面瘫、脑膜刺激征等, 应首先考虑是否发生了中枢神经系统白血病, 在排除其他感染性病变后, 不管脑脊液检查有没有发现幼稚细胞, 都可以作出临床诊断, 当然最直接的证据就是脑脊液里面找到幼稚细胞, 但这个病例中脑脊液常规提示白细胞明显增高, 但多次脑脊液检查并未发现幼稚细胞, 而理论上讲, 如果是中枢神经系统白血病, 这么高的细胞水平下, 是比较容易发现幼稚细胞的, 那么这个病例就很大可能合并了颅内感染。
吴一龙(肿瘤学教授):脑脊液找幼稚细胞的阳性预测值及阴性预测值是多少?
钟立业(血液科副主任医师):针对这个问题我们曾做过一个Meta分析, 它的阳性预测值是95%, 阴性预测值是50%。
林愈灯:这方面并没有儿科的数据, 只能参考成人的数据。
马冬(肿瘤内科主任医师):病例中患儿经过一个疗程化疗后评估骨髓为CR, 那么肿瘤CR后再出现中枢神经系统病变, 是否应该首先考虑颅内感染呢?
杨衿记(肺科主任医师):前面说在没有预防性治疗的情况下, 中枢神经系统白血病的发生率高达20%~30%, 在目前有预防性治疗的情况下, 发生率多少?
林愈灯:2%~3%, 但中枢神经系统白血病是可以发生在白血病化疗的任何一个阶段的。
钟立业:中枢神经系统白血病的诊断方法有三种:一是形态学发现幼稚细胞; 二是影像学发现颅内浸润性改变; 第三种就是脑脊液流式细胞学检查。我认为此患者在形态学没有见到幼稚细胞的情况下, 可以试一下流式细胞学检查, 这么高水平的细胞, 如果是中枢神经系统白血病的话, 一般是可以发现幼稚细胞的。
宗飒:患儿在白血病的基础上出现神经系统症状, 我们围绕中枢系统白血病和感染性疾病都做了相关检查, 患儿脑脊液腺苷脱氨酶(15 U/L)升高, 结合既往化疗过程中感染病史及肺部影像学改变, 我们高度怀疑结核感染可能, 并请胸科医院医师会诊, 临床初步考虑合并结核性脑膜炎(tuberculous meningitis, TBM), 并予异烟肼、利福平、吡嗪酰胺口服抗结核治疗, 予异烟肼+地塞米松鞘内注射, 同时后续检查结果出来, 结核LAM阳性、PPD皮试(48小时):+++、PPD皮试(72小时):+++、脑脊液TB-DNA定量: 5 370 copies, 从而证实了我们的临床诊断, 确诊TBM。
李伟雄(放疗科教授):这种情况从影像学上可以诊断或者提示诊断吗?
林愈灯:影像学是有提示的, 我们请影像科的医生来进一步介绍。
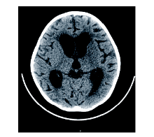
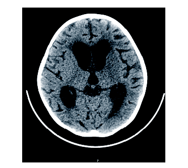
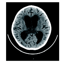
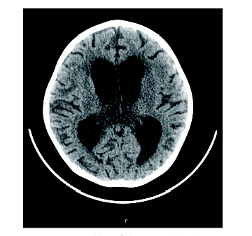
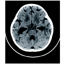
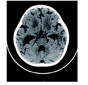
周正根(影像科主治医师):根据患儿的影像学图片介绍一下TBM的影像学特点, 首先, TBM比较容易出现脑积水, 见图1, 在脑底部的脑池可见分泌物, 脑室壁增厚; 其次, 脑室、脑沟可见到钙化, 见图2和图3, 钙化灶对结核的诊断有一定意义; 第三, 由于TBM可能侵犯到小血管, 所以可以见到一些低密度的梗塞病灶。
宗飒:给大家简单介绍一下TBM, TBM是由结核分枝杆菌感染引起的非化脓性细菌性脑膜炎。中枢神经系统结核杆菌感染约占结核感染的5%~10%, 在肺外结核中诊断难度、病死率、致死率均最高, 病死率为20%~50%, 致残率30%, 复发率5%~10%。TBM的早期临床表现、脑脊液变化、影像学表现均不典型。同时脑脊液收集有限, 结核分枝杆菌是细胞内寄生菌, 很多检测TBM方法的敏感度、特异度不高, 易误诊漏诊。因此目前为止, 尚无一种方法可完全解决TBM诊断的问题。目前诊断TBM的主要依据是:(1)临床表现; (2)脑脊液改变; (3)脑影像学表现; (4)其他部位结核感染。公认的确认结核杆菌的方法为:(1)脑脊液镜下检出抗酸杆菌; (2)脑脊液培养出结核杆菌; (3)PCR法检出结核杆菌。由于脑脊液细胞涂片和结核杆菌培养阳性检出率极低(< 10%), 按照上述诊断标准, 绝大多数临床病例仅能诊断为很可能的或可能的TBM。鉴于该病的严重后果, 专家共识建议, 高度怀疑结核杆菌感染的脑膜炎患者应尽早开始抗结核药物治疗。
患儿确诊TBM, 治疗上继续三联抗结核治疗及鞘注抗结核药物。但后续治疗过程中患儿再次出现呕吐, 伴右侧肢体抖动、意识改变、双侧瞳孔不等大, 神志淡漠, 头颅CT平扫检查提示交通性脑积水, 双侧基底节区及左侧额叶、右侧顶叶皮层低密度灶, 考虑梗塞可能性大。遂予床边行颅骨钻孔脑室外引流术。并予甘露醇脱水减轻脑水肿。后患儿病情好转后转到胸科医院进一步专科抗结核治疗, 其间因脑积水在我院反复行左右脑室钻孔引流术, 最终行左侧脑室腹腔引流术。后患儿病情好转、稳定, 复查骨髓为完全缓解, MRD检测未见残留。遂按照GD2008广东协作组方案再次化疗, 并继续三联抗结核治疗, 其间多次查脑脊液TB-DNA定量水平均正常(10拷贝)。
我们接下来要讨论的问题是白血病合并TBM抗结核治疗的疗程如何确定?面对类似这样白血病合并TBM这种严重合并症的情况, 该如何给予家属治疗意见?
吴一龙:结核和白血病之间有没有直接的相互作用的关系, 抗结核和治疗白血病是否矛盾?
林愈灯:结核和白血病本身无直接联系。但当白血病合并结核尤其是TBM的时候, 两者的治疗都要慎重, TBM本身是十分凶险的, 它的治疗也是必须的, 问题是抗结核的同时怎样去处理白血病, 如果在长期的抗结核治疗过程中间不予以化疗, 那么基本可以肯定白血病是要复发的, 预后也是不良的, 但如果坚持化疗, 可能因为化疗引起患者免疫功能低下, 从而增加抗结核治疗的难度。
钟立业:这个问题难以确切回答, 白血病合并严重感染时一定是存在治疗矛盾的, 一般来说, 两害相遇取其轻, 也就是说选择对患者最有利的策略, 如果很明确患者感染严重, 且可能危及生命, 而继续化疗可能加重感染或者导致感染扩散, 那么就必须在控制感染后再去化疗。
郑登云(肿瘤内科主任医师):从成人实体肿瘤的经验来讲, 一般也是在控制感染后再去化疗, 对于结核这种特殊的感染, 本病例患儿在6~8个月的抗结核治疗后, 感染控制, 是允许进一步化疗的。
林愈灯:是的, 患儿抗结核治疗后, 感染控制良好, 但6~8个月的时间对白血病来说, 等待时间很长, 如果这么久的时间没有化疗, 复发的可能性是非常大。
李文瑜(淋巴瘤科主任医师):化疗和抗结核治疗是否可以同时进行?是否可以通过降低化疗的强度来降低风险呢?
林愈灯:是的, 我们降低了化疗强度, 使用维持方案强度的化疗, 在抗结核治疗期间继续治疗白血病, 在患儿感染控制后, 严密监测患儿脑脊液结核菌感染的拷贝数, 结合患儿临床表现, 再按计划予以标准剂量的化疗。
林愈灯:另外一个问题就是, 这种情况下, 抗结核治疗的时间应该是多久?
陆泽生:这种情况下, 抗结核治疗的时间并没有确切的循证医学数据可以遵循, 一般单纯的结核感染治疗时间3~6个月(TBM可以长达1.5年), 但这种白血病合并结核的情况, 我们认为普通强度的抗结核治疗时间是不够的, 临床上一般选择在白血病化疗结束, 患者免疫功能恢复后, 择机再停止抗结核治疗。
吴一龙:在这个病例中, 我们遇到了治疗抉择的问题, 白血病合并TBM, 两种疾病本身都可能有不良的预后, 当两者结合在一起时, 治疗存在一定的矛盾, 使得疾病的预后更加凶险, 那么在这种情况下, 面对家属的询问, 该如何给家属治疗意见, 是选择治疗还是选择放弃?这里面还有很多问题值得讨论。
首先, 从理论上讲, 如果说有疾病可能有50%的死亡率, 30%的致残率, 就应该选择放弃治疗, 但如果我们因为很多疾病的死亡率超过50%而放弃很多患者, 这样是很可怕的。其次, 在涉及到治疗方法选择的时候, 需要患者、家属、医生共同抉择。由于目前医患关系紧张, 导致我们部分医生在治疗患者的时候, 首先想到的是会不会产生医患纠纷, 如果我们医生怀着这样的心态去治疗疾病, 治疗效果可能会打折扣, 也会因此产生更多的医疗纠纷。我认为, 我们应该怀着积极端正的心态进行良好的沟通, 告诉患者及家属目前病情、疾病的治疗方法及积极治疗可能的预后、可能的风险, 并告知我们应对可能风险的积极预防及治疗方法, 这样的沟通使患者及家属了解病情、理解风险, 从而增加医患信任, 这样才能真正使患者得到积极有效的治疗。第三, 我们在临床上经常会遇到多种疾病治疗策略的矛盾, 这个时候我们权衡治疗方法的原则就是患者获益最大化, 并尽可能地降低风险, 在这个基础上来调整治疗方案, 在调整治疗方案的时候, 我们不一定能找到循证医学的依据, 那么这个时候我们就是依据的创造者了。最后, 再谈一谈循证医学, 我们现在都知道用数据、用证据说话很有说服力。但在临床上, 我们的治疗过程中还存在很多没有数据、证据可循的情况, 例如这个病例在白血病的基础上合并TBM的抗结核治疗时间问题, 面对这样的问题, 我们能找到的就是单纯的抗结核治疗的指南, 它不能指导白血病基础上的抗结核治疗, 这个时候我们就要反问, 这个抗结核治疗的指南是依据什么制定的, 它是否可靠, 如果能探索清楚指南背后的依据, 再来结合我们的病例, 可能会更好地指导抗结核治疗, 同时, 我们也就创造了新的循证医学证据。
The authors have declared that no competing interests exist.
| [1] |
|
| [2] |
|
