患者女性, 51岁, 已绝经, 因“ 发现右乳肿物2个月” 入院。
既往史、个人史、婚育史、家族史无特殊。
专科检查:双侧乳房视诊未见异常, 右侧乳房外上象限可触及3 cm× 2 cm大小肿块, 边界欠清, 质硬, 活动度差, 无明显压痛。右侧腋窝扪及大小约2 cm× 2 cm肿大淋巴结, 质硬。左乳未扪及明显肿物, 左侧腋窝未扪及明显肿大淋巴结。
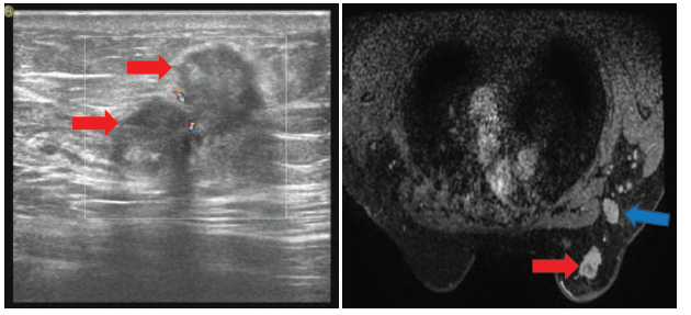
辅助检查:肿瘤指标正常。行乳腺彩超示:右乳10点钟位置距乳头5.0 cm可见一个大小为2.5 cm× 1.7 cm低回声光团, 形态不规则, 边界不清, 呈“ 蟹足样” 改变。右腋窝可见多个淋巴结回声, 边界清, 形态不规则, 皮髓质分界不清, 内回声不均匀, 其中一个淋巴结大小约2.5 cm× 1.9 cm。行乳腺核磁共振示:右乳外上象限乳腺癌伴右侧腋窝淋巴结转移, BI-RADS V类。见图1。行乳腺钼靶示:右乳外上象限恶性病变并右侧腋窝多发淋巴结转移, BI-RADS V类。见图2。行胸部-上腹部CT未见明显转移。
入院完善相关检查后, 于2018-01-23行右乳肿物及右腋窝肿大淋巴结穿刺活检。术后病理:右乳浸润性癌, 非特殊类型, Ⅲ 级; 分子分型:Luminal B1型(HER2 阴性型), ER +++ 30%, PR +++ 30%, Cerb B2 ++(HER2-FISH:HER2基因无扩增), Ki-67 20%。右腋窝淋巴结:转移性腺癌, 考虑乳腺来源, 三阴性乳腺癌(triple negative breast cancer, TNBC), ER 0, PR 0, Cerb B2 0, Ki-67 5%。诊断:(右乳)浸润性癌, cT2N1M0, Luminal B1型(HER2阴性型); 右腋窝淋巴结转移性腺癌, TNBC。予新辅助化疗, 方案4EC-4T(表柔比星Epirubicin+环磷酰胺Cyclophosphamide 4周期, 多西紫杉醇Taxotere 4周期), 定期评估。第2周期后临床疗效评估为部分缓解(partial response, PR), 第4周期后评估为疾病稳定(stable disease, SD)。第6周期后复查, 乳房SD, 淋巴结疾病进展(progression disease, PD)。第6周期后腋窝淋巴结行二次穿刺, 病理为:分化差的癌, 穿刺组织40%为肿瘤, 60%为坏死。
杨梅(乳腺二科医师):汇报病史特点(同上)。提出讨论要点:(1)该患者新辅助化疗后疗效如何评价?(2)下一步的治疗方式?手术或者换方案化疗?(3)乳腺病灶和腋窝病灶的分子分型不一致, 肿瘤的多克隆异质性对治疗方案和治疗反应的影响?
王坤(乳腺二科主任医师):根据中国临床肿瘤学会(Chinese Society of Clinical Oncology, CSCO)指南[1], 三阴性型、HER2阳性乳腺癌、肿块大于5 cm、腋窝淋巴结转移是新辅助化疗的适应证。该患者临床分期为cT2N1M0, 分子分型乳腺原发灶是Luminal B1型, 腋窝淋巴结是三阴性型, 我们根据分期, 兼顾两种不同的分子分型, 计划予以4EC-4T新辅助化疗。在4EC治疗后疗效评估SD, 乳腺和腋窝病灶可手术切除, 我们考虑手术治疗; 但同时考虑到在既往经验中4EC后转T方案可能出现进一步临床获益, 所以没有立即手术干预, 改换成T方案。患者目前已经接受6个周期的新辅助化疗(4EC-2T), 出现乳腺原发灶SD、腋窝转移淋巴结PD的情况, 乳腺和腋窝病灶仍然处于可以手术切除范围。下一步是按照原计划打完8个周期的化疗再手术, 还是现在就手术?请各位专家提出宝贵建议。
杨学宁(肺二科主任医师):第一, 新辅助化疗有助于判断后续的治疗方法, 且在新辅助化疗中三阴性型、HER2阳性的乳腺癌患者获得病理完全缓解(pathology complete response, pCR)可以转换成生存获益。所以该患者可以推荐行新辅助化疗。第二, 在乳腺肿瘤和转移腋窝淋巴结分子分型不同的情况下进行新辅助化疗的过程中, 出现原发灶治疗有效、转移灶进展的情况并不多见。这个患者第6周期新辅助化疗后出现乳腺原发灶SD、淋巴结PD, 目前仍处于可手术状态, 要尽可能地为她选择最优的治疗方案, 争取获得最好的治疗效果。
马冬(肿瘤内科主任医师):这个患者乳腺靶病灶是Luminal B型, 腋窝淋巴结是三阴性型, 我们行新辅助化疗的主要目的之一是希望降期以行保乳手术治疗。6个周期新辅助化疗后疗效评估乳腺原发灶SD、腋窝淋巴结PD, 没有达到降期的效果, 继续化疗可能丧失手术的机会, 我认为下一步应该行手术治疗。
廖宁(乳腺科主任医师):三阴性型、HER2阳性型的乳腺癌患者新辅助化疗后获得pCR的话可以转换成生存获益, 但是不同亚型患者的pCR是不一样的, 所以对于三阴性型乳腺癌, 尤其是预后不好的亚型, 进行新辅助化疗时要特别谨慎, 严格按照实体瘤疗效评价标准, 每2个周期进行一次疗效评价, 避免病情进展。目前这个患者从肿块大小及腋窝转移淋巴结情况来看, 尚属于可手术的范围, 我们应该把握好手术的时机。另外, 同一个乳腺癌患者存在两种不同的分子亚型, 这可能是因为肿瘤的多克隆异质性。临床上, 病理诊断是基于主克隆亚型, 治疗针对的也是主克隆, 治疗无效往往是因为忽略了亚克隆亚型的存在。
旁述:根据《中国抗癌协会乳腺癌诊治指南与规范》[2], 部分乳腺癌对新辅助治疗初始治疗方案不敏感, 2个周期化疗后肿瘤无变化或反而增大时, 应根据实际情况考虑是否需要更换化疗方案或采用其它疗法。新辅助化疗中约有3%~10%的患者PD, 应该立即中止目前化疗, 行手术治疗或更换化疗方案。对于SD的患者建议更改治疗方案或改变总体治疗计划, 改用手术、放疗或其他全身治疗措施。
根据《2018版NCCN指南》[3], 临床分期为Ⅱ A期、Ⅱ B期、Ⅲ A期可手术的患者, 出现PD后行手术治疗; Ⅲ A、Ⅲ B、Ⅲ C、N2不可手术的患者, 应该更换其它系统治疗方案或行术前放疗。
讨论的这位患者乳腺原发灶是Luminal B1型, cT2N1M0, 腋窝淋巴结是三阴性型, 行6周期新辅助化疗后出现PD。GeparTrio研究(2013)[4]入组了2012例cT1~3N1~3患者, 发现如果2个周期TAC新辅助化疗后肿瘤SD的话, 更换方案后无病生存期(disease free survival, DFS)有获益, 总生存期(overall survival, OS)无差别, 也就是说我们这位患者改变化疗方案的话有可能提高DFS。加拿大Sunnybrook Odette肿瘤中心[5]的临床实践, 入组了413例局部晚期的乳腺癌患者, 其中30例出现PD, 三阴性型占7.2%。对16例患者进行了挽救治疗, 更改方案后的反应率为87.5%, 说明我们这位患者还是有可能从挽救治疗中获益的。2010年美国MD Anderson[6]的实践对1 928例患者进行回顾性分析, 发现新辅助治疗后Luminal B型(HER2-)的疾病进展率为1.8%, 三阴性型疾病进展率为4.2%, 其进一步分析腋窝淋巴结进展后出现远处转移后的风险, 发现新辅助化疗后PD组患者更多见淋巴结转移、更多见淋巴管浸润、术后病理分期更差。结合以上这些临床试验和我们此次讨论的患者情况, 我们应该选择或把握合适的手术时机, 下一步行手术治疗。
杨衿记(肺科主任医师):同时存在两个不同的分子分型是基于在新辅助化疗前只取少许活检组织, 它未必能代表整个肿瘤的全貌, 可能存在异质性, 例如:临床上约有25%的HER2阳性患者对曲妥珠单抗耐药, 研究发现这些患者的肿瘤表现出不同程度的“ basal like” 特征。但是我们对肿瘤异质性的研究并不深入。而我们病例讨论的目的是在讨论后得到合适的治疗方案, 最后大家的主流意见是下一步将行手术治疗。但是, 为什么患者第6周期后出现乳房原发灶SD, 腋窝淋巴结PD的原因尚不能明确, 我们要重视对这个病例手术效果的观察及随访, 为未来研究肿瘤异质性提供经验。
王坤:总结以上的讨论意见, 这个患者乳腺癌原发灶是Luminal B1型, 腋窝淋巴结转移灶是三阴性型, 行4EC-2T新辅助化疗后乳房原发灶评价为SD, 腋窝淋巴结评价为PD, 我们下一步将对患者行手术治疗。
后记:该患者于2018-07-16行右乳腺癌改良根治术, 术后病理:(右乳)浸润性癌, 非特殊类型, Ⅲ 级。ypT1cN2M0期。分子分型:Luminal B1型(HER2阴性型), ER++ 20%, PR++ 20%, Cerb B2 ++(HER2-FISH:HER2基因无扩增), Ki-67 60%。术后拟行内分泌、卡培他滨及放疗治疗, 治疗过程中发现右腋窝新生肿物, 1 cm× 1 cm大小, 于2018-08-30行肿物切除活检术, 术后病理:(右腋窝淋巴结)分化差的癌, 考虑乳腺癌转移可能性大。后行放疗, 放疗期间出现全身多发转移, 患者于2018-12-04离世。
The authors have declared that no competing interests exist.
| [1] |
|
| [2] |
|
| [3] |
|
| [4] |
|
| [5] |
|
| [6] |
|
