作者简介:
杨丽勤(1997-),女,江苏盐城人,硕士研究生在读,主要研究方向为影像诊断。
心脏转移瘤较罕见,多源于一些晚期恶性肿瘤的远处转移。临床诊治过程中,在未知肿瘤病史的情况下,心脏转移瘤大多易误诊、漏诊。本文探讨了一例临床首诊误诊为急性心肌梗死的肺鳞状细胞癌心脏转移,并对其临床特点、诊治过程及异常心电图改变做了分析和总结。
Cardiac metastases were rare and mostly originated from distant metastases of some advanced malignant tumors. In the process of clinical diagnosis and treatment, most cardiac metastases were easy to be misdiagnosed and missed when the tumor history was unknown. In this report, a case of cardiac metastasis from lung squamous cell carcinoma misdiagnosed as acute myocardial infarction was discussed, and its clinical features, diagnosis, treatment process, and abnormal electrocardiograph changes were analyzed and summarized.
男性患者, 82岁, 因“ 胸闷、食欲减退20天, 呕吐1次” 于2021-10-09 01∶ 50入院。患者20天前出现活动时胸闷, 无胸痛, 伴食欲减退、双下肢乏力, 逐渐加重。8小时前出现胸闷加重, 伴恶心、呕吐(1次, 胃内容物), 不能平卧, 急诊入院。既往高血压病10年余, 糖尿病病史8年, 高脂血症病史3年, 吸烟50年, 未戒烟, 偶尔饮酒。查体:T 36.5℃, BP 123/72 mmHg, P 90次/分, R 18次/分, BMI 20.7 kg/m2, 神志清, 两肺呼吸音粗, 心律齐, 心音偏弱, 余体格检查未见明显阳性征象。
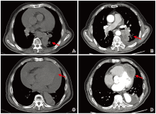
2021-10-09 01∶ 57行心电图示:V1-6导联R波递增不良, V1-5导联ST段弓背抬高, 见图1。2021-10-09 02∶ 33行胸痛指标检测提示:高敏肌钙蛋白T 21.08 pg/mL, B型氨基端尿钠肽原 2 160 pg/mL。遂于2021-10-09 02∶ 50进行冠脉造影, 术中见左主干、右冠未见明显狭窄, 前降支近段狭窄30 %, 钝缘支近段狭窄30%, 见图2。
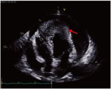
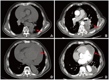
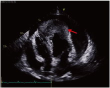
2021-10-09 13∶ 00行超声心动图, 见左右室壁心尖处可见不规则中等偏低回声浸润, 范围约6.5 cm× 3.1 cm, 与原心肌组织分界不清。左右室心尖部异常回声(占位可能); 主动脉瓣轻度返流; 大量心包积液; 室间隔、前壁、侧壁基底段至心尖部应变绝对值降低, 见图3。2021-10-09 14∶ 52行胸部平扫及增强CT显示:左下肺病变伴周围渗出, 大小约6.7 cm× 4.3 cm, 增强不均匀明显强化, 周围局部支气管狭窄闭塞, 考虑肿瘤性病变伴阻塞性肺炎可能并左下肺亚段型不张; 心包积液, 心尖部模糊, 增强见斑片状软组织占位, 考虑转移可能, 见图4。
| 图3 患者超声心动图图像 注:红箭头所示为心尖部占位可能。Fig.3 Echocardiography of the patient Note: The red arrow indicated the possible neoplasm at the apex. |
2021-10-09 14∶ 01检测血浆肿瘤全套(男性)指标提示:肺癌肿瘤标志物细胞角蛋白21-1片段(cytokeratin fraction 21-1, CYFRA21-1) 57.43 ng/mL, 神经原烯醇化酶(neuron-specific enolase, NSE)8.52 ng/mL, 鳞状上皮细胞癌抗原(squamous cell carcinoma antigen, SCCA)39.6 ng/mL, 癌胚抗原(carcinoembryonic antigen, CEA)32.45 ng/mL, 糖类抗原(cancer antigen-125, CA125)99.80 U/mL, 肿瘤特异生长因子(tumor specific growth factor, TSGF)70.60 U/mL, 总前列腺特异抗原(total prostate-specific antigen, TPSA)29.987 ng/mL。CEA测定(各种免疫学方法):CEA> 1 000.00 ng/mL。
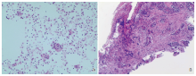
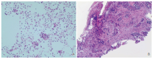
2021-10-11 15∶ 40行心包穿刺, 病理结果显示:(心包积液脱落细胞检查)极少量异型细胞, 结合免疫组化结果, 不除外转移性癌可能。免疫组化结果如下:异型细胞Calretinin(-), CK5/6(-), Ep-CAM(个别+), CD68(-), NapsinA(-), TTF-1(-), CK7(+), PD-L1(22C3)(-)(图5A)。
+2021-10-25 12∶ 51行左下肺纤维气管镜活检, 病理结果显示:(左下叶背段开口穿刺)鳞癌。免疫组化:CK7(散在+), TTF-1(-), Napsin A(-), CK5/6(+), P40(+), P63(+), ALK(D5F3)(-), Ki-67(约30%+), PD-L1(22C3)(约60%+), CD56(灶性弱+), CgA(-), Syn(-)(图5B)。诊断为肺鳞癌Ⅳ B期(T3N1M1C); 心包内占位, 考虑转移。
患者老年男性, 有冠心病高危因素, 急诊入院后结合心电图改变及心肌酶谱表现, 符合急性心肌梗死临床诊断标准, 故第一诊断考虑急性心肌梗死, 行冠脉造影显示前降支和钝缘支轻度狭窄, 左主干、右冠未见明显狭窄, 即排除该诊断。随后经心脏超声发现心尖部异常回声, 考虑心脏肿瘤可能; 完善胸部平扫及增强CT检查, 诊断左下肺肿瘤性病变伴心脏转移可能, 结合肿瘤标志物检查及心包穿刺、纤支镜活检病理明确, 最终诊断为肺癌伴心脏转移。
肺癌合并心脏转移多是晚期肺癌患者, 患者的一般情况多很差, 且常存在全身多处转移; 但本例患者一般情况尚可, 并未发现其他部位的转移。肺癌合并心脏转移临床常漏诊, 多为肺癌患者尸检发现。尽管该患者影像学和病理学诊断较符合肺癌心脏转移的诊断, 但临床表现不太符合。鉴于本病例, 由于患者原发病灶为左下肺鳞状细胞癌, 病灶临近纵隔, 肿瘤组织可能通过周围转移侵犯纵隔及心肌组织。心脏转移通常出现在肿瘤疾病的播散期, 肿瘤细胞可以通过血液或淋巴传播或通过血管壁扩散, 直接到达心肌组织, 产生类似急性心肌梗死的临床症状。
肺癌是癌症死亡的常见原因, 通常会导致局部和远处淋巴结、骨骼、中枢神经系统、肝脏或肾上腺发生转移性变化, 但心脏转移是肿瘤研究中鲜少关注的问题之一[1]。在本病例中, 患者胸外症状掩盖了原发肿瘤临床表现, 且主要以心电图ST段抬高(ST segment elevation, STE)样改变伴心肌酶谱的异常, 极易误诊; 随后心脏超声提示占位, 考虑心脏肿瘤。心脏肿瘤在人群中的发病率很低, 临床发病率约0.001%~0.028%, 是一种少见的疾病[2], 其中原发肿瘤更为罕见, 大多数为转移性肿瘤, 且以肺癌多见。临床上, 心脏作为肿瘤的靶器官常被忽略, 所以对心脏转移瘤的认识也相对落后[3]。本例患者最终也经病理证实为肺癌的心脏转移。
在心脏肿瘤中, 心电图STE样改变是常见表现, 但确定STE具体特征对患者的后期诊断治疗至关重要。Kamil等[4]通过对36例心脏转移瘤患者的心电图STE特征进行分析, 发现心脏转移瘤患者的心电图与STE呈弓背向上型抬高、无病理性Q波和R波丢失、STE导联终末T波阴性及心电图无明显动态演变等改变有关, 这可有助于临床医生早期通过心电图的微小特征变化考虑到心脏肿瘤的可能。该文同时总结心脏肿瘤出现STE样改变的可能机制:(1)冠状动脉被肿瘤压迫; (2)肿瘤或者肿瘤继发的血栓导致冠状动脉栓塞; (3)正常心肌组织细胞和肿瘤或肿瘤周围受损的心肌细胞间产生类似“ 损伤电流” 等, 也有助于进一步阐释心脏肿瘤的不同心电图表现的特征。另外, 肺癌心脏转移病例大多数为大细胞类腺癌[5], 本例为鳞癌, 也有一定参考意义。
后记:患者在生命体征稳定后转于呼吸内科行信迪利单抗200 mg 静脉滴注 d1免疫治疗, 其他以对症支持治疗为主, 后心内科、呼吸科随诊。
| [1] |
|
| [2] |
|
| [3] |
|
| [4] |
|
| [5] |
|

