[编者按] 疾病的正确诊断和合理治疗是患者和医务工作者共同的心愿。在广东省人民医院肿瘤中心,吴一龙教授指导临床医生应用循证医学理论进行肿瘤的多学科综合治疗,开展临床病例讨论。讨论会上各学科共同围绕一个病例或一个病种进行会诊,临床、病理、B超、放射影像等资料齐全,除相关科室提前准备的中心性发言外,到会人员各抒己见,气氛热烈。参会人员受益匪浅,提高了对疑难病例的诊治水平。为了将他们的诊治经验传播出去,让更多的临床医生获益,我刊开辟“循证病例讨论”栏目,希望广大医务工作者关注此栏目。
患者男性,55岁,因“反复咳嗽1个月”入院。
患者2010年10月出现咳嗽反复发作,伴有血丝痰,当地医院PET/CT发现右肺中叶不张,右侧胸腔积液,纤维支气管镜未见肿瘤,胸腔积液未见癌细胞,同年11月来我院就诊。
既往无高血压、糖尿病病史,无吸烟史,无肿瘤家族史。
查体:PS 1分。全身浅表淋巴结未触及肿大,头面部无水肿,Horner征阴性,上腔静脉压迫综合征阴性,Pancoast征阴性,胸廓无畸形,双肺叩诊呈清音,呼吸音正常,未闻及干湿罗音。脊柱四肢无异常,关节无肿痛。神经系统检查无异常。
入院后检查:肿瘤标志物正常,行胸水引流出血性胸水1 000 mL,3次送检均未见癌细胞,2010年11月19日胸部CT发现右下肺肿块,直径3 cm,伴右侧胸腔积液,纵隔未见淋巴结肿大。初步诊断:右下肺癌cT2aN0M1a(胸腔积液)Ⅳ期。
徐崇锐(肺科主治医师):汇报病史(略)。目前临床诊断右下肺癌cT2aN0M1a(胸腔积液)Ⅳ期,但需要明确病理类型,下一步考虑采用什么方法进行活检,胸膜活检、穿刺、还是手术切除病灶?
杨学宁(肺科副主任医师):患者血性胸腔积液多次送检未见癌细胞,有可能是血细胞的含量过多,影响了病理科的诊断结果。胸膜活检可以取到胸膜组织进行活检,通过内科胸腔镜,既可以取得足够的组织明确病理,也可以确定分期。
杨衿记(肺科主任医师):胸水反复多次没找到癌细胞,暂时没有发现远处转移,应考虑先进行内科胸腔镜检查,如果拿到胸膜结节,就可以明确诊断,如果胸膜上很光滑,没有找到肿瘤,按照分期,可以手术切除病灶。
旁述:在肺癌分期的原文中指出[ 1],大多数肺癌患者的胸腔积液及心包积液由肿瘤引起,但有少数患者的胸腔或心包积液多次反复检查未见癌细胞,并且非血性,也不是渗出液,结合临床考虑积液和肿瘤无关时,积液将不作为分期依据。
判断胸水有没有癌细胞,不是指血性的胸水,一旦出现血性的胸腔积液,排除出血的情况后,都按照癌性胸腔积液来处理。这在97分期和07分期里是一样的。临床上,胸腔积液首先看血性还是非血性,非血性积液要找有无癌细胞,血性积液大多数按照恶性来处理。
周清(肺科副主任医师):大家的意见都倾向于内科胸腔镜,下面介绍一下内科胸腔镜的情况。
聂强(肺科副主任医师):术前反复的血性胸腔积液,但多次送检均未找到癌细胞,2010年11月19日胸水引流后复查胸部CT发现右下肺肿物,经过综合考虑行胸腔镜探查,目的是诊断,必要时行手术治疗。
经过术前准备,2010年11月25日行电视胸腔镜手术,术中所见如下:胸腔内血性胸水,右肺中叶内侧段肿物大小约5×5 cm,肿瘤表面破溃出血;胸腔内见多个(考虑由脱落组织形成)结节,但均易分离摘除;胸膜广泛充血水肿。行中叶肿瘤楔形切除,同时切除部分胸膜及胸腔内结节送冰冻检查。术中冰冻病理切片所见如下:右中叶肿物呈梭形细胞肿瘤,考虑为孤立性纤维瘤;膈肌表面肿物呈梭形细胞肿瘤;壁层胸膜坏死及机化物,未见明确肿瘤。行右中肺叶切除+纵隔淋巴结采样术。手术诊断:右中肺孤立性纤维瘤。术后诊断:①右肺肿物:滑膜肉瘤,双相型;②膈肌表面肿物:坏死组织为主,结合冰冻切片所见,考虑少许肿瘤侵犯;③壁层胸膜:血块及炎性坏死物,未见明确肿瘤;④送检淋巴结未见肿瘤(0/7;隆突下淋巴结 0/2,叶间淋巴结0/1,下肺韧带淋巴结0/1,中叶淋巴结0/3)。病理诊断:右中肺滑膜肉瘤(pG?T2N0M1,Ⅳ期)。
杨学宁:术中见到肺内肿瘤表面破溃出血,因此考虑出血导致胸腔积液。
吴一龙(肿瘤学教授):癌性的胸腔积液是不凝的,出血的血液肯定是会凝固的。术中有没有看到血块,这对于判断胸腔积液的性质非常重要。如果胸腔积液是癌性,那么手术是R1切除。从最后的病理来看,患者膈肌已经有肿瘤侵犯,因此不是R0切除。
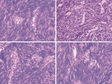
张芬(病理科主治医师): 第一次的手术标本,镜下可以看到肿瘤呈侵袭性生长,冰冻时的取材较为局限,看到的都是梭形细胞,因此报告梭形细胞肿瘤,但石蜡切片广泛取材后发现肿瘤内部有上皮巢,还有腺样结构,见 图1。根据形态首先考虑滑膜肉瘤,但还需要和其他梭形细胞肿瘤相鉴别。
病理科行多项的免疫组化及分子生物学的检测,VIM(+++),CD34(-),EMA(上皮分化成分和部分梭形细胞+), CK(上皮分化成分和部分梭形细胞+),S-100(-),BCL-2(++),CD99(++),SMA(-),HHF-35(-),CD117(-),CK19(上皮成分+),ERCC1(-),β-tubulin(+),EGFR(++),VEGF(+),CD117(-),DOG1(-)。荧光原位杂交结果:SYT基因可见易位(88%,参考阈值>10%),支持滑膜肉瘤,见 图2。cKIT基因外显子9,11,13,17均未检测到突变。PDGFRA基因外显子12检测到无义点突变,外显子18未检测到突变。EGFR野生型。
结合以上的结果,两个上皮细胞的标记EMA(上皮分化成分和部分梭形细胞+)和CK(上皮分化成分和部分梭形细胞+)相似,呈阳性,CD34(-)可以排除孤立性纤维肿瘤。SYT基因的异位是滑膜肉瘤的典型改变,因此可以确诊滑膜肉瘤。
滑膜肉瘤并不是来源于滑膜,肿瘤位于关节附近,增生的形态和滑膜类似,因此命名为滑膜肉瘤。后来发现这种肿瘤可以发生在身体的任何部位,大部分发生在四肢,组织学上分为单相型和双相型,具有特征性的染色体易位t(X;18)(p11;q11)。复发率高于50%,一般发生在2年以内,约40%病例转移,一般转移至肺、骨和局部淋巴结。
旁述:滑膜肉瘤是一种罕见的疾病,每年的发病率约为2~3/100 000,约占全部恶性肿瘤的1%,占全部致死肿瘤的2%。迄今国内外文献病例报道63例,临床表现主要为:胸痛、咳嗽、咯血,病灶通常侵犯胸膜引起胸腔积液,多为局限性侵犯及血行转移,极少肺门、纵隔淋巴结转移,术后转移时间大概10~15年。
原发性肺滑膜肉瘤在鉴别诊断上首先要与肺转移性滑膜肉瘤相区别,肺转移性滑膜肉瘤更常见,其他需鉴别诊断的疾病:肺孤立性纤维瘤、平滑肌肉瘤、肺梭形细胞癌。
治疗:目前没有标准的治疗原则,一般应对原发肿瘤行广泛切除,根据临床分期可采用手术前后放、化疗;放疗有效剂量不应< 40 Gy,放射野应包括瘤体及周围2~5 cm正常组织;化疗最常用的是VAC(长春酰胺、阿霉素、环磷酰胺)方案。
预后:滑膜肉瘤5年生存率达50%,预示肺原发性滑膜肉瘤患者预后差的因素有:男性、年龄(>20岁)、肿瘤大小(>5 cm)、广泛肿瘤坏死、手术切除不完全、肿瘤侵入神经血管、低分化型、肿瘤细胞核有丝分裂率高(>10/10HPF)、sY-ssxl型[ 2]。
马冬(肿瘤内科主任医师):滑膜肉瘤经过手术,复发转移的几率非常大,但化疗也不敏感,下一步应密切随访复查。
周清:目前的文献资料显示肺的滑膜肉瘤较为少见,对放化疗均不敏感,主要的治疗手段是手术切除。来自日本的研究显示,按年龄分组的患者的生存率与是否辅助化疗显著有关。化疗组的无转移生存率是60%,而未化疗组的无转移生存率为48%。0~16岁组(78%给予化疗)、17~30岁组(21%给予化疗)和>30岁组(15%给予化疗)的无转移生存率分别为69%、53%和43%。当然,这项回顾性资料分析不能作为滑膜肉瘤辅助化疗疗效的确切证据,但是它提示化疗有作用。
徐崇锐:该患者术后3个月时返院复查,发现了肿瘤转移,PET/CT提示有2处转移病灶,一处位于右侧胸膜,一处位于膈肌上。术后这么短的时间出现复发,说明肿瘤的生长非常活跃。
李伟雄(放疗科主任医师):滑膜肉瘤对放疗不敏感,局部控制率不到三分之一,这么大的病灶,现在难以进行放疗。
陈晓明(介入科主任医师):该患者现在没有标准的治疗手段,肿瘤的形状不是很规则,上下径超过3 cm,局部消融很难达到完全消融的目的。
曹小龙(肿瘤科主任医师):现在肿瘤再次长大,是否有机会再次手术治疗?
杨学宁:要考虑患者的耐受力,再次手术需要行全肺全胸膜切除,但这种无限扩大的手术方式仅仅是一种方法,能带来多大的获益并不确定。
郑登云(肿瘤内科主任医师):对于肉瘤还是应该进行化疗,方案可以采用异环磷酰胺+阿霉素方案。
杨衿记:经典的化疗方案是长春酰胺+阿霉素+环磷酰胺。
徐崇锐:该患者在2011年4月19日进行了局部消融,2011年5月6日开始紫杉醇+卡铂+贝伐单抗治疗,6个周期之后疗效评价为疾病稳定,PET/CT上显示代谢完全缓解,之后继续进行了8个周期贝伐单抗的维持治疗。
吴一龙:如果采用异环磷酰胺等方案,无进展生存期仅2~3个月,这是非常不理想的。基于两方面考虑选择了化疗方案,一是肿瘤位于肺,是否可以考虑借鉴肺癌的方案;更为重要的原因是肿瘤生长得非常迅速,而且肿瘤中间没有坏死的成分,说明血管非常丰富。基于这两点,我们选择了抗血管生成药物的方案,结果显示效果不错。
马冬:现在一般肉瘤在一线治疗失败后,二线常采用抗血管生成药物治疗,虽然暂时还没有大型临床试验的证据,但有很多Ⅱ期临床研究的结果。
周清:该患者目前来看治疗是很成功的,一共做了14个周期的治疗,PET/CT上显示肿瘤的代谢完全缓解,同时患者的生活质量并没有受到影响,副作用包括脱发和1度的蛋白尿。
旁述:滑膜肉瘤的生物学特性可能介于大部分典型的成人软组织肉瘤与儿童小圆细胞肿瘤如横纹肌肉瘤或尤文氏肉瘤之间。在对化疗的反应率上,滑膜肉瘤大约为60%,成人软组织肉瘤低于40%,横纹肌肉瘤为80%。
内科治疗所采用的方案包括阿霉素、环磷酰胺等,最新的进展是Pazopanib,这是一种口服VEGF-2抑制剂,同时针对血小板衍化生长因子受体(PDGFR)和干细胞因子受体(c-kit)也有抑制作用,这与贝伐单抗有类似之处,在EORTC62043的Ⅱ期临床研究中,37例滑膜肉瘤,12周无进展率达到49%[ 3]。2012年3月,FDA批准Pazopanib用于软组织肉瘤(除了脂肪细胞软组织肉瘤)化疗失败后的治疗。
VEGF在多种软组织肉瘤中表达,VEGF的表达越高肿瘤的分级越高,预后不佳,软组织肉瘤患者血浆VEGF浓度高于正常人,并与原发病灶的组织学分级有关,因此针对VEGF的靶向治疗成为研究的方向,贝伐单抗有一些早期的临床试验正在进行中,Ⅱ期临床试验中,贝伐单抗联合阿霉素,中位总生存期16个月,肿瘤进展时间8个月,有效率12%[ 4];Ⅰ/Ⅱ期试验,贝伐单抗+多西紫杉醇+吉西他滨,有效率31.4%[ 5];Ⅱ期新辅助治疗临床试验,贝伐单抗+放疗,45%的患者肿瘤坏死超过80%,是单独放疗组的两倍[ 6]。
徐崇锐:2012年3月,患者胸膜再次出现病灶,PET/CT显示右侧胸膜和膈肌上存在高代谢病灶,较前明显增大,肿瘤进展时间为10个月。考虑病灶较为局限,予以局部消融治疗。消融后患者出现咯血,量约200 mL,因此停用贝伐单抗。2012年4月,复查胸部CT,显示病灶较前增大。
陆骊工(介入科主任医师):现在肿瘤较前进展,目前的手段不多,可以尝试粒子植入治疗。
李伟雄:现在放疗外照射,剂量最大只有70 Gy,而粒子植入的剂量可以大大提高,建议行粒子植入治疗。
马冬:现在全身治疗没有很好的方案,可以尝试吉西他滨和多西紫杉醇的方案。
吴一龙:该患者在局部治疗的基础上,联合抗血管生成是重要的方案,取得了良好的疗效。但抗血管生成治疗有特殊性,现有的临床研究发现在进展之后需要继续治疗,否则会引起肿瘤的快速生长,该患者因为咯血而停用了贝伐单抗,结果肿瘤迅速增大。患者现肿瘤范围广泛,考虑先予以全身治疗再予以局部治疗。
| [1] |
|
| [2] |
|
| [3] |
|
| [4] |
|
| [5] |
|
| [6] |
|
