作者简介:
张志发(1991-),男,广东梅州人,住院医师,在读硕士研究生,主要从事病理诊断工作。
背景与目的 基于传统肿瘤分化程度的组织学分级(tumor differentiation grade,TDG)系统应用广泛,但存在预后价值不足、构成比分布不均等局限性。基于量化差分化细胞群(poorly differentiated cluster,PDC)的新分级系统具有可重复性和提高预后价值的优势。本研究旨在探讨PDC分级与结直肠腺癌临床病理参数之间的关系,分析新型组织学分级系统在临床应用中的价值。方法 回顾性收集2015年1月至2015年12月,在广东省中医院行根治性手术切除的结直肠腺癌标本445例,其中男性237例,女性208例,年龄31~93岁,中位年龄64岁,肿瘤最大直径0.9~9.0 cm,平均最大直径4.7 cm,左半结肠癌155例,右半结肠癌112例,直肠癌178例。按照标准的评估方法对PDC进行计数并分成三级,分析结直肠腺癌各项病理学参数与不同级别PDC之间的关系;按照世界卫生组织(World Health Organization,WHO)的方法将TDG分成二类,比较PDC与TDG两个系统的分布差异,并使用改良的PDC系统(二级)对TDG构成比较大的部分进行再分层分析。结果 445例结直肠腺癌,按PDC分级系统,PDC1级为122例(27.4%),PDC2级为126例(28.3%),PDC3级为197例(44.3%),PDC分级与肿瘤浸润深度、淋巴管血管侵犯、淋巴结转移、神经侵犯、远处转移及肿瘤出芽呈正相关( P<0.05),而与患者性别、年龄、肿瘤部位及肿瘤大小无关( P>0.05)。按TDG分级系统,低级别TDG(TDG low,TDG-L)和高级别TDG(TDG high,TDG-H)的病例分别为365例(82.0%,构成比明显偏大),80例(18.0%),PDC的构成比分布较TDG平均。使用改良的PDC分级系统对365例TDG-L进行再分层,改良的PDC分级与TDG-L组中的肿瘤浸润深度、淋巴管血管侵犯、淋巴结转移、神经侵犯及肿瘤出芽呈正相关( P<0.05)。结论 PDC与结直肠腺癌侵袭性的生物学行为密切相关,基于PDC分级系统对结直肠腺癌进行新的组织学分级是可行的,将为患者提供更多的有价值的预后信息,还可使用PDC将TDG-L进行再分层,PDC分级系统可能是比传统组织学分化程度更客观和实用的预后分类参数。
Background and purpose The tumor differentiation grade (TDG) system based on the traditional degree of differentiation was widely used. However, it had limitations such as insufficient prognostic value and uneven distribution of constituent ratios. A new grading system based on quantifying poorly differentiated clusters (PDCs) had the advantages of reproducibility and improved prognostic value. This study aimed to investigate the relationship between PDC grading and clinicopathological parameters of colorectal adenocarcinoma and to analyze the value of a new histological grading system in clinical application.Methods 445 patients with colorectal adenocarcinoma who underwent radical surgical resection from January 2015 to December 2015 at Guangdong Provincial Hospital of Chinese Medicine were retrospectively collected, including 237 males and 208 females, ranging in age from 31 to 93 years, with a median age of 64. Tumor size ranged from 0.9 to 9.0 cm (mean 4.7 cm). There were 155 cases of left colon cancer, 112 cases of right colon cancer, and 178 cases of rectal cancer. According to the standard evaluation method, PDC was divided into three grades, and the relationship between PDC grade and other clinicopathological parameters of colorectal adenocarcinoma was analyzed. According to the World Health Organization (WHO), TDG was divided into two grades. The distribution differences between the PDC and TDG systems were analyzed, and the improved PDC system (two grades) was re-graded to a significant part of TDG.Results Among 445 cases of colorectal adenocarcinoma, 122 cases (27.4%) were G1 grade, 126 cases (28.3%) were G2 grade, and 197 cases (44.3%) were G3 grade. PDC was positively correlated with invasion depth, lymphovascular invasion, lymph node metastasis, nerve invasion, distant metastasis stage, and tumor budding (TB)( P<0.05), but not with gender, age, tumor site, and tumor size ( P>0.05). According to the TDG grading system, 365 cases (82.0%, the proportion was obviously high) were TDG low (TDG-L), and 80 cases (18.0%) were TDG high (TDG-H). The distribution of the PDC was more even than TDG. 365 cases of TDG-L were re-graded using the modified PDC grading system. The PDC grading was positively correlated with the depth of tumor invasion, lymphovascular invasion, lymph node metastasis, nerve invasion, and tumor budding in the TDG-L group ( P<0.05).Conclusions PDC was closely related to the invasive biological behavior of colorectal adenocarcinoma. Classifying colorectal adenocarcinoma with a new histological grade based on the PDC grading system was feasible, which might provide patients with more valuable prognostic information. TDG-L could be re-graded using PDC, which might be a more objective and practical prognostic classification parameter than traditional histological differentiation.
传统的肿瘤组织学分化程度分级(tumor differentiation grade, TDG)系统, 根据腺体形成比例, 将结直肠癌(colorectal carcinoma, CRC)分为低级别(TDG low, TDG-L, 包含高分化和中分化)、高级别(TDG high, TDG-H, 包含低分化和未分化)。虽然这种分级系统已被证明是一个独立的预后因素, 但事实上, 这种分级系统也存在很多实际应用问题和明显的局限性:首先, 对于不同的病理医生而言, 存在显著程度的观察者间不一致性[1, 2]; 此外, 该系统对于特殊类型癌种的应用, 如粘液癌、印戒细胞癌和微乳头状癌的实际效用仍存在争议; 另外, 无论二分类、三分类还是四分类, 分类间的构成比非常不均匀, 大部分为TDG-L(尤其是中分化), TDG-H只占很少比例。可见, 基于传统组织学分化程度的分级系统, 并不能给临床提供可靠、客观、准确的预后信息。
最近Ueno等[3, 4, 5]提出了一种新型的评估肿瘤侵袭性的组织学方法——差分化细胞群(poorly differentiated cluster, PDC)。Ueno认为此新型分级系统是一种比传统的组织学分级更客观、更准确的系统。尽管在一些报告中, 这种新的分级系统已被证明具有操作简单, 重复性好等优势, 但其可靠性仍然需要大样本验证[6]。本研究通过判读455例结直肠腺癌中PDC的分级, 旨在探讨PDC分级与结直肠腺癌临床病理参数之间的关系, 分析基于PDC新型组织学分级系统的临床应用价值。
我们回顾性收集了2015年1月至2015年12月期间, 在广东省中医院大德路总院接受标准根治性结直肠手术和区域淋巴结切除术的503例患者标本。排除术前新辅助放化疗、复发或转移性肿瘤以及非根治性手术(如局部切除或息肉切除)病例。最终, 445例患者符合入组条件。从患者的住院病历中收集了基本信息和临床数据(性别、年龄、肿瘤最大直径、部位等)。从病理诊断系统中获得以下病理学参数:肿瘤浸润深度(T分期, T1/T2/T3/T4)、淋巴结转移(N分期, N0/N1/N2)、远处转移(M分期, M0/M1)、淋巴管血管侵犯(lymphovascular invasion, LVI, 阴性/阳性)、神经侵犯(perineural invasion, PNI, 阴性/阳性)、及肿瘤出芽(tumor budding, TB, G1/G2/G3)。
所有肿瘤样本制成苏木精-伊红(hematoxylin and eosin, H-E)染色切片, 由两名病理科医师分别进行独立判读、复核, 并根据第8版美国癌症联合会(American Joint Committee on Cancer, AJCC)癌症手册[7]对肿瘤进行分期。对于每个病例, 根据2019版世界卫生组织(World Health Organization, WHO)标准[8], TDG以腺体比例, 分成TDG-H(腺体比例少于50%)和TDG-L(腺体比例不少于50%)两类; 同时, 根据Ueno等[3, 4, 5]既往描述的PDC标准计数方法, 对肿瘤进行组织学分级。PDC定义为出现在癌巢中的, 由≥5个癌细胞组成的, 但缺乏腺样结构的肿瘤细胞簇(无论簇的大小)。具体操作为:首先使用低倍显微镜扫描全部切片, 在肿瘤浸润前沿找出热点区域, 然后使用20倍物镜对热点区进行计数, 根据PDC的数量分为PDC1(<5群)、PDC2(5~9群)和PDC3(> 10群)3个等级。统计PDC分级在肿瘤浸润深度、淋巴结转移、远处转移、淋巴管血管侵犯、外周神经侵犯、肿瘤出芽以及组织学分化程度各分组中的分布差异。此外, 对Ueno标准进行改良, 将PDC1和PDC2合并定义成低级别PDC(PDC low, PDC-L), 将PDC-3定义为高级别PDC(PDC high, PDC-H), 使用改良PDC系统, 对构成比明显偏大的TDG-L进行再次分层, 比较PDC二分类系统在TDG-L组中肿瘤浸润深度、淋巴管血管侵犯、淋巴结转移、神经侵犯、肿瘤出芽各细化分组中的分布差异。
采用SPSS 25.0软件进行数据分析, 对所有变量采用描述统计方法进行总结, 如连续变量采用观察数、平均值、标准差、中位数、最小值、最大值和四分位数进行描述, 分类变量采用频数和百分比进行总结。对于无序分类变量采用卡方检验或Fish精确概率法比较两组间的差异, 对于有序分类变量则采用秩和检验(Mann-Whitney U test或者Kruskal-Wallis test)比较两组或多组间的等级差异。在检验水平α=0.05的情况下, P<0.05可认为差异具有统计学意义。
445例患者中位年龄64岁, 其中237例(53.3%)为男性, 208例(46.7%)为女性, 肿瘤大小0.9~9.0 cm, 平均最大直径4.7 cm, 155例(34.8%)肿瘤位于左半结肠, 112例(25.2%)肿瘤位于右半结肠, 178例(40%)肿瘤位于直肠。
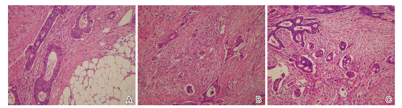
PDC分级与肿瘤浸润深度(T)、淋巴结转移(N)、远处转移(M)、淋巴管血管侵犯(LVI)、外周神经侵犯(PNI)及肿瘤出芽(TB)分级显著相关(P<0.05), 而与性别、年龄、发病部位及肿瘤平均最大径无关(P> 0.05, 表1)。不同分级的PDC特征见图1。
| 表1 445例结直肠腺癌差分化细胞群与临床病理学参数的相关性 Tab.1 Correlations between PDC and clinicopathological characteristics in 445 cases of colorectal adenocarcinoma |
按照TDG分级系统, 365例(82.0%)被划为TDG-L(高分化、中分化), 80例(18.0%)被划为TDG-H(低分化、未分化); 按照PDC分级系统, PDC1级为122例(27.4%), PDC2级为126例(28.3%), PDC3级为197例(44.3%)。PDC分级与TDG分级存在相关性(P<0.05, 表1)。PDC-L且TDG-L的病例有233例(52.4%), PDC-H且TDG-H的病例有65例(14.6%), PDC-H且TDG-L的病例有132例(29.7%), PDC-L且TDG-H的病例有15例(3.4%), 见表2。
| 表2 PDC改良系统(二分类)对365例TDG-L病例的分层分析 Tab.2 Stratified analysis of 365 patients with TDG-L using the modified PDC system (dichotomous) |
365例TDG-L病例中, 改良的PDC二分类系统在T分期、N分期、脉管侵犯、外周神经侵犯及TB分级中的分布存在差异(P<0.05); PDC-H较PDC-L, 更容易出现T3/T4期、淋巴结转移阳性、脉管和神经侵犯、TB 2/3分期, 见表2。
无论是CRC还是其他癌种, 基于分化程度的组织学分级(TDG)是经WHO和AJCC认可的使用最广泛的病理参数之一, 但也是最难以准确定义和量化的病理参数之一。WHO和AJCC中, 根据腺管状结构的比例, 将结直肠癌的组织学分级划分为高分化(腺管比例超过95%)、中分化(腺管比例50%~95%)、低分化(腺管比例5%~50%)、未分化(少于5%)四分类或高级别(TDG-H, 包括低分化和未分化)、低级别(TDG-L, 包括高分化和中分化)二分类[8]。
根据以上定义, 我们的数据显示大多数肿瘤为TDG-L(365例, 占82.0%), 特别是中分化腺癌(347例, 占78%)占了绝对比例。究其原因, 首先是由于肿瘤的异质性, 这本身是肿瘤的一个特征, 在临床实践中, 经常出现肿瘤浸润前沿部分与表浅成分的分化程度不一致的情况(往往是浸润前沿的分化程度要差于表浅部位); 另外, 分级是应该根据占比最多的成分还是分化最差的成分进行判断?目前还没有建立公认的国际标准[9]。目前评分系统存在的个人主观性导致的观察者间的不一致性似乎是不可避免的, 此外, 目前的分级系统不能用于所有的CRC亚型, 如髓样癌和粘液癌[10]。综上, 目前基于分化程度的TDG组织学分级系统并不是一个非常客观和最优的工具, 在预后评估方面存在的局限性逐渐显现出来。
新近, Ueno等[11]提出了一种基于PDC数量的新分级系统, 并证明了该分级系统在观察者间一致性和预后能力方面的优越性。这个新分级系统, 首先是要对PDC作出定义:在HE切片中, 出现在癌巢中的(往往是浸润前沿), 由≥5个癌细胞组成的, 但缺乏腺样结构的肿瘤细胞簇。如将PDC的数量分为三个等级, 本研究的数据显示:PDC1级肿瘤占27.4%、PDC2级肿瘤占28.3%、PDC3级肿瘤占44.3%。如参照TDG系统, 对应地将PDC也由三分类合并为二分类, 分成高级别(PDC-H, 对应PDC3)和低级别(PDC-L对应PDC1+PDC2), 高级别的比例增加到44.3%, 低级别的比例下降到55.7%, 较传统组织学分级系统, 新的分级系统在每个类别的分布更为平均, 构成比更为合理。
在2019版WHO消化系统肿瘤分册结直肠腺癌章节, 将结直肠腺癌的组织学类型分为非特殊类型(not otherwise specified, NOS)及特殊类型, NOS包括传统的乳头状、管状, 特殊类型包括粘液腺癌、印戒细胞癌、微乳头状癌等。PDC评判肿瘤侵袭前沿(浸润最深处), 对于边界相对清楚、肿瘤细胞相对集中、间质成分少的组织学亚型, PDC是个实用的分类方法, 比如NOS的乳头状腺癌、管状腺癌, 比如特殊类型中的腺瘤样腺癌; 迄今为止, 大多数评估PDC预后意义的研究都没有在分析中将特殊类型的肿瘤剔除。Barresi等[12]发现, 在108例黏液腺癌的研究中, PDC分级与无复发生存(recurrency free survival, RFS)和无病生存(disease free survival, DFS)均显著相关, 当G2和G3合并为“高分级”时, 这种关联甚至更强; 因此, 对粘液性肿瘤等特殊类型进行PDC分级似乎是可行的, 至少没有出现与非特殊类型的研究相悖的报道。事实上, 目前PDC使用的Ueno标准的标准制订者Ueno团队, 提出了黏液腺癌中的PDC判读标准“漂在黏液湖中的细胞簇不计数, 周围有纤维包裹的细胞簇才计数”[11]。
我们的结果同时显示, 基于PDC的分级与疾病进展的相关临床病理参数显著相关, 如T分期、N分期、M分期、脉管侵犯、外周神经侵犯和肿瘤出芽期分级等, 这与既往的小样本结论一致[9], 我们研究样本量较大, 更具说服力。并且, 我们认为这与传统认为的TDG与预后相关的结论有异曲同工之处, 且PDC更具可操作性及实用性。对TDG-L再进行改良版PDC分类, 仍然得出类似结果, 更加确认PDC在预后分组中的意义。因此, 较TDG分级系统, 我们认为PDC分级系统是一种稳健的预后因素, 将提供更多的患者更可靠的预后信息, PDC分级可以与其他临床病理参数一起作为CRC患者管理的一个有前景的预后因素, 应该纳入常规病理报告中, 但仍需要更多相关研究来进一步验证。
| [1] |
|
| [2] |
|
| [3] |
|
| [4] |
|
| [5] |
|
| [6] |
|
| [7] |
|
| [8] |
|
| [9] |
|
| [10] |
|
| [11] |
|
| [12] |
|

